Dogs can eat some very strange things. Why would a dog eat a fork or a toy arrow?
Fork
13 Rocks
Rubber Ducky
10-Inch Toy Arrow
Fish (with hook included)
Homer Simpson
2-Foot Long Stick
15-Inch Serrated Knife
Magic Fairy Wand
Engagement Ring
Soccer Ball
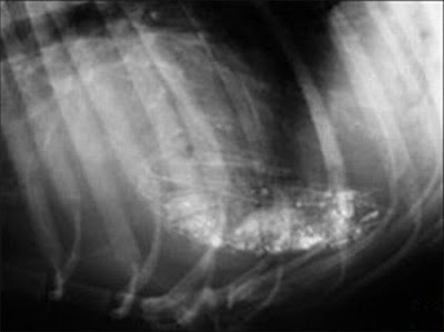
130 Nails
Mobile Phone
Nine Golf Balls & A Bullet
Bottle Cap, Piece of Basketball, and 15 Baby Pacifiers
Toy Dog
Unexpected Things Found Inside Dog's Things
Subscribe to:
Post Comments (Atom)
0 comments:
Post a Comment